近日,我院内镜中心成功为一名直肠侧向发育型肿瘤(Laterally Spreading Tumor, LST)患者实施了首例内镜黏膜下剥离术(Endoscopic Submucosal Dissection, ESD)。目前患者恢复良好,已顺利出院。
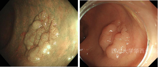
患者李某(化名)经检查发现直肠LST,病理活检提示直肠绒毛状腺瘤伴腺上皮轻度异型增生,遂至我院就诊。经全面细致的术前评估并与患者充分沟通,内镜中心团队确认该病变符合内镜下切除指征,决定行ESD术。内镜黏膜下剥离术(ESD)作为当前治疗早期胃肠黏膜病变的前沿技术,能够在胃肠镜下精准、完整地切除消化道早期癌变及癌前病变。该技术具有创伤小、恢复快、可最大程度保留消化道结构和功能等优势。

手术当日,我院内镜中心医护团队与麻醉团队密切协作,历时约1.5小时,成功将病变完整剥离切除,术中未发生穿孔、出血等并发症。术后病理结果显示为管状腺瘤,伴小灶浅表腺上皮高级别上皮内瘤变,水平切缘及垂直切缘均未见肿瘤累及,证实为癌前病变。

此例手术是我院完成的首例内镜四级手术,ESD技术的成功应用,让患者避免了接受外科开腹手术,也标志着我院内镜中心在消化道早癌内镜诊治领域取得了新的技术突破。
作者:杜江 陈斌 审核:李全生 蒋欣 编辑:李洁 来源:内镜中心